从术前近乎无视力到术后视力0.6,佛山爱尔眼科助八旬老人驱散白内障阴霾
近日,84岁高龄的莫阿姨在佛山爱尔眼科医院(总院)成功接受了一项先进的“屈光性白内障手术”。术后仅仅一天,她的视力就从仅能看见眼前30厘米的手影,飞跃提升到了0.6,清晰的世界再次回到她的眼前。
莫阿姨被“雾霾”般的视力困扰已超过五年。近年来,她视物越来越模糊,如同常年隔着一层厚厚的磨砂玻璃生活,最终视力下降到只能勉强看到眼前手动(医学上称为“手动/30cm”),在佛山爱尔眼科医院(总院)经过系统的检查后被诊断为过熟期的“硬核白内障”,手术难度较高。不仅如此,术前精密检查还发现她合并有影响视物清晰度的角膜散光。

上图清晰显示:术前莫阿姨术前晶状体核呈棕黑色硬化
在过去,传统的白内障手术主要解决“看得见”的问题,术后患者可能仍需佩戴眼镜来矫正散光或老花。而如今,随着眼科医疗技术的发展,“屈光性白内障手术”理念已成为趋势,其目标不仅是复明,更是要获得清晰、舒适的高质量视力,减少对眼镜的依赖。
针对莫阿姨的情况,佛山爱尔眼科医院(总院)白内障青光眼主任张希乔为她制定了精准的手术方案:在利用超声乳化技术吸除坚硬混浊的晶状体后,为她量身植入了一枚散光矫正型人工晶状体。这枚晶体属于高端功能性晶体,其特点是既能替代原有晶状体的屈光功能,又能精准中和角膜散光。
上图为张希乔主任进行超声乳化白内障手术中

上图为张希乔主任进行超声乳化白内障手术中
“这个晶体就像一枚‘订制镜片’,一次性解决了莫阿姨的白内障和散光两个问题。” 张希乔解释道,“手术的关键在于精确计算和定位,确保散光矫正轴位准确无误,这样才能达到最佳的术后视觉效果。”

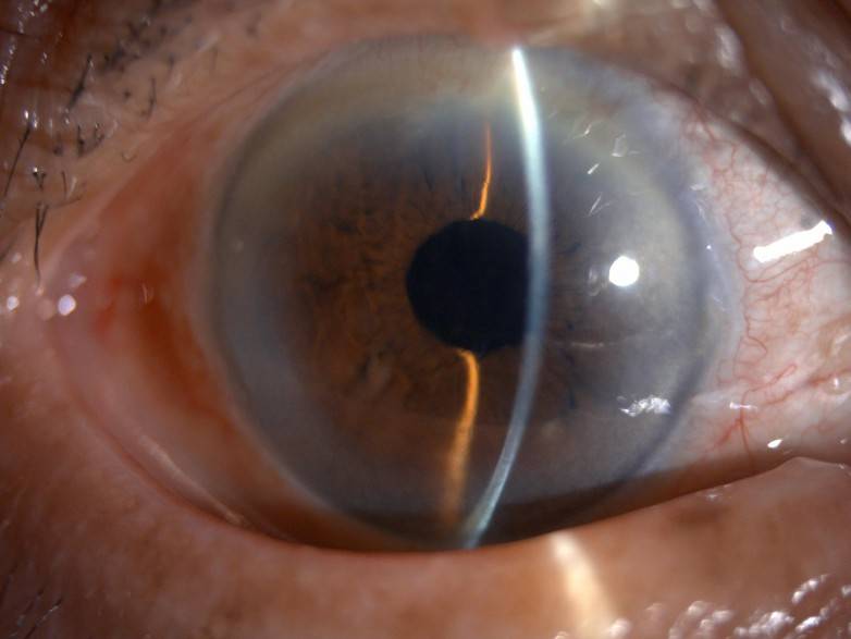
上图为莫阿姨术后情况,晶状体重现健康黑色
手术过程顺利。令人惊喜的是,术后第一天复查,摘下纱布的莫阿姨视力表检查就达到了0.6。她兴奋地表示:“太清楚了!连墙上的小字都能看见了,颜色也鲜艳了,感觉一下子年轻了好多!”
此案例的成功,标志着佛山爱尔眼科医院(总院)在应对复杂白内障及联合屈光矫正方面具备了成熟的技术。它生动地展示了现代白内障手术已从简单的复明手术,迈入了 “个性化、精准化”的屈光手术时代。即使是对高龄、晶体核硬度高的“硬核白内障”患者,只要经过全面的术前评估,选择合适的功能性人工晶体,同样能获得令人满意的视觉质量提升,极大改善晚年生活品质。
张希乔专家提醒: 白内障患者不必等到“熟透了”再手术。当视力下降影响到日常生活时,即可进行咨询。术前进行详尽的眼睛生物学测量和规划,是选择合适人工晶体、实现术后理想视力的关键一步。

佛山爱尔眼科医院(总院)是佛山市第一家三级眼专科医院,是医保定点单位,可进行本地或异地医保结算,并设有老花白内障门诊、高度近视及老视门诊。开诊时间为周一至周日上午8:00-12:00,下午2:00-5:30。

深耕眼科十年,白内障青光眼科室由院长何锦贤领衔,科室主任张希乔作为学科带头人,门诊以提供高质量的诊疗服务出发,搭建个性化治疗白内障的优质平台,拥有国际前沿的白内障检查与手术设备,引进了各种国际高标准的屈光性人工晶状体,可满足不同患者对视觉质量提高的需求,可开展飞秒激光辅助的白内障超声乳化,联合功能型人工晶状体植入术,同时解决白内障、老花、近视、远视和散光问题,畅享自然视觉。

免责声明:本网内容均转载自其它媒体或政企投稿,转载目的在于传递更多信息,并不代表本网赞同其观点和对其真实性负责,且不承担任何责任。文中图片为政企或百度图库公开检索及配图,文中内容仅供参考,不作为实际操作建议。如涉及版权问题,请作者持权属证明联系侵删。


