视力仅0.06!佛山爱尔眼科助七旬老人白内障术后重回1.0清晰视界
近日,72岁的梁姨(化名)在佛山爱尔眼科医院(总院)成功接受白内障手术后,视力从术前的0.06大幅提升至1.0,重获清晰视觉。这一案例不仅展示了现代白内障手术的技术成效,也提醒公众:白内障手术无需等到成熟期,当视力下降至0.5以下即可考虑干预,避免拖延导致眼底检查困难、影响术后效果评估。
手术前后对比显著,视力实现飞跃
术前,梁姨因白内障已发展到中期,视力仅剩0.06,连日常行动都倍感困难。更关键的是,由于晶状体混浊严重,眼底情况无法被清晰观察,给医生判断手术预期效果带来了挑战。经过细致的术前评估和精准的超声乳化白内障摘除联合人工晶体植入手术,梁姨术后视力恢复至1.0,视觉质量显著改善。

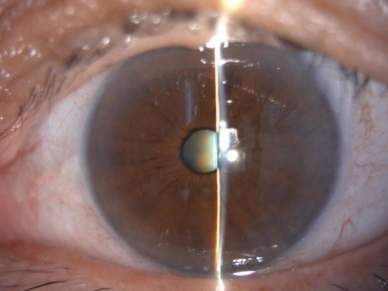
上图为梁姨术前眼睛情况,白内障严重到光线无法透到眼底
专家提醒:白内障勿拖延,早干预早受益
佛山爱尔眼科医院(总院)白内障青光眼主任张希乔表示,梁姨的案例具有一定代表性。许多患者误以为白内障需等到“成熟”或完全看不见时才需手术,实则不然。当视力下降至0.5以下,且白内障已影响日常生活时,即可考虑手术。拖延不仅可能导致生活质量下降,还会因晶体过度混浊妨碍眼底检查,影响医生对眼底疾病的排查(如黄斑变性、糖尿病视网膜病变等),从而增加手术风险或影响术后视觉恢复。
张希乔进一步解释,现代白内障手术技术已相当成熟,手术时间短、创伤小、恢复快。早期手术不仅能更好地保障术后视觉质量,还有利于全面评估眼底健康状况,实现“一举多得”。

上图为梁姨术后情况,晶状体重现健康黑色
科学防治白内障,守住清晰视界
白内障是我国首位致盲性眼病,多见于老年群体。专家建议,50岁以上人群应定期进行眼科检查,一旦发现白内障进展且视力降至0.5以下,即可在医生指导下择期手术。同时,日常生活中需注意紫外线防护、控制慢性疾病(如糖尿病)、保持均衡营养,以延缓白内障发展。

梁姨的成功案例,为众多白内障患者带来了信心与启示:主动关注视力变化,及时就医评估,才能早日拥抱清晰视界。

佛山爱尔眼科医院(总院)是佛山市第一家三级眼专科医院,是医保定点单位,可进行本地或异地医保结算,并设有老花白内障门诊、高度近视及老视门诊。开诊时间为周一至周日上午8:00-12:00,下午2:00-5:30。

深耕眼科十年,白内障青光眼科室由院长何锦贤领衔,科室主任张希乔作为学科带头人,门诊以提供高质量的诊疗服务出发,搭建个性化治疗白内障的优质平台,拥有国际前沿的白内障检查与手术设备,引进了各种国际高标准的屈光性人工晶状体,可满足不同患者对视觉质量提高的需求,可开展飞秒激光辅助的白内障超声乳化,联合功能型人工晶状体植入术,同时解决白内障、老花、近视、远视和散光问题,畅享自然视觉。

免责声明:本网内容均转载自其它媒体或政企投稿,转载目的在于传递更多信息,并不代表本网赞同其观点和对其真实性负责,且不承担任何责任。文中图片为政企或百度图库公开检索及配图,文中内容仅供参考,不作为实际操作建议。如涉及版权问题,请作者持权属证明联系侵删。


